Please ensure Javascript is enabled for purposes of website accessibility Skip to main content

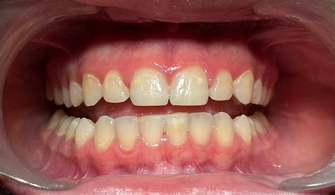
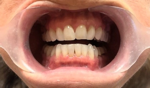
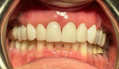
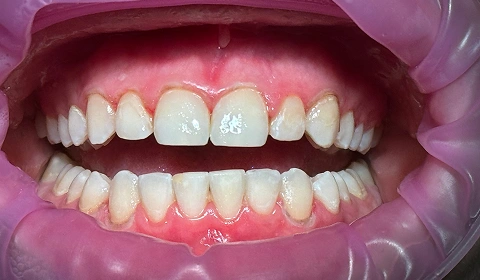
Smile Gallery

“Everyone at North Scottsdale Dentistry is fantastic. They are friendly, professional and very accommodating. Thanks so much.” Robert H.